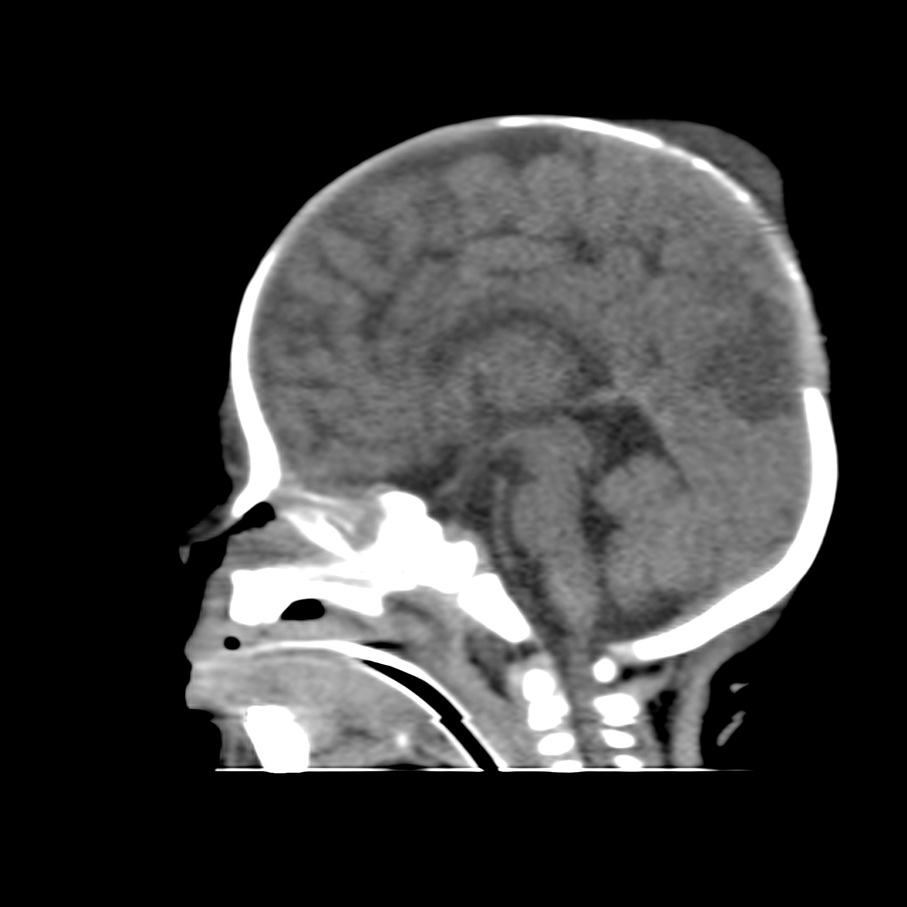
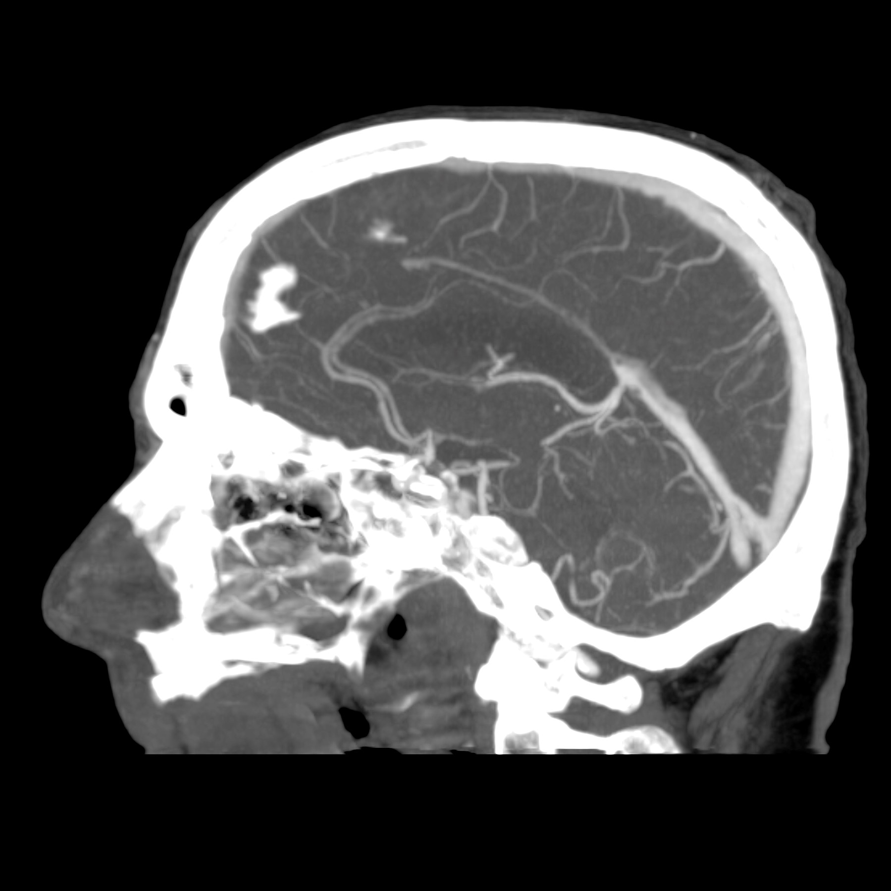
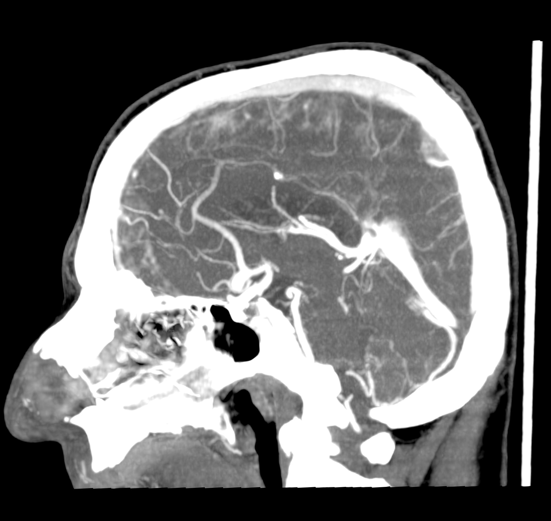
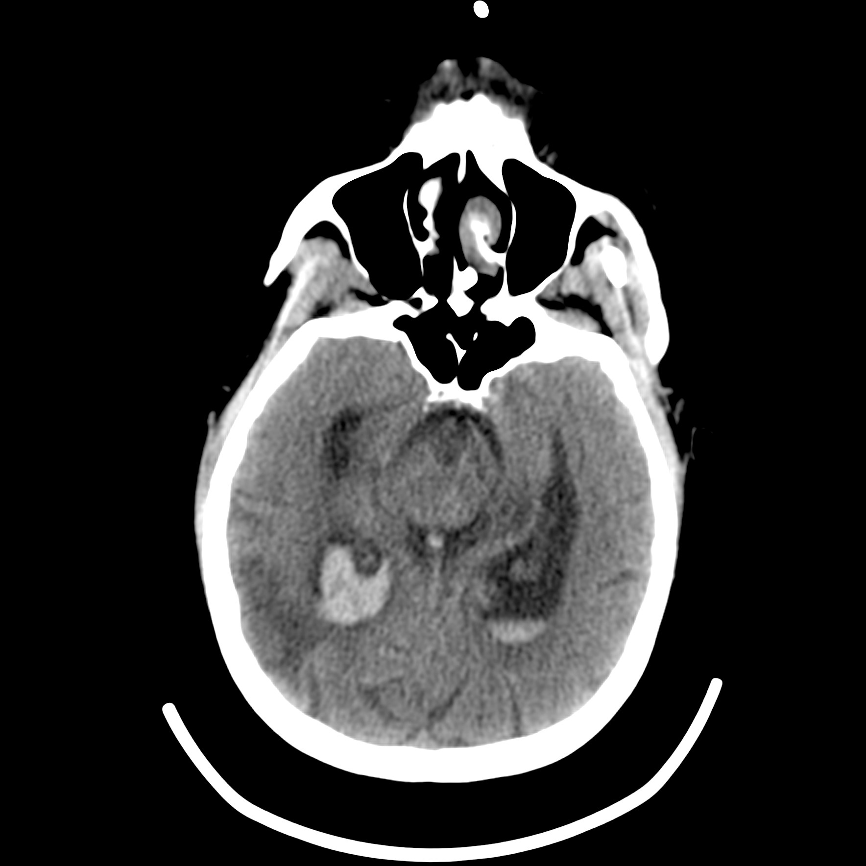
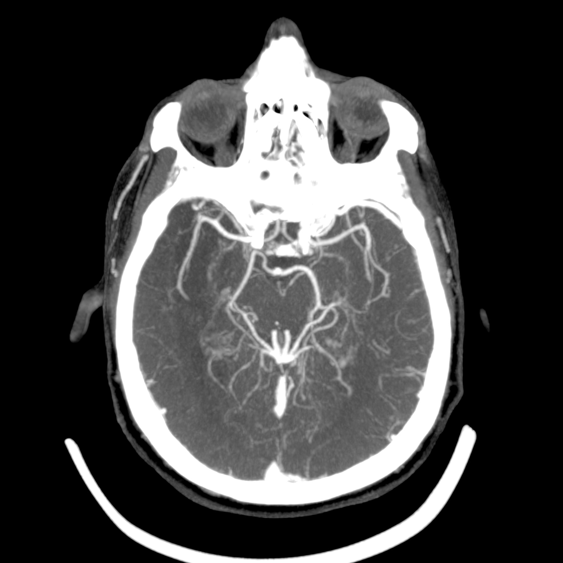
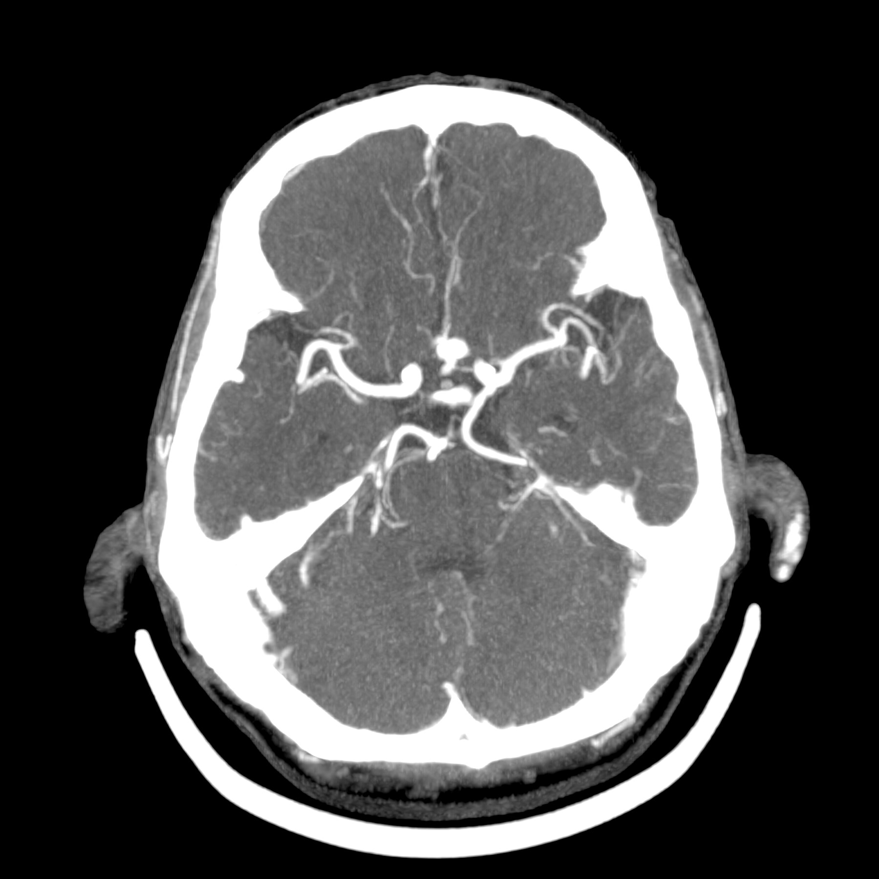
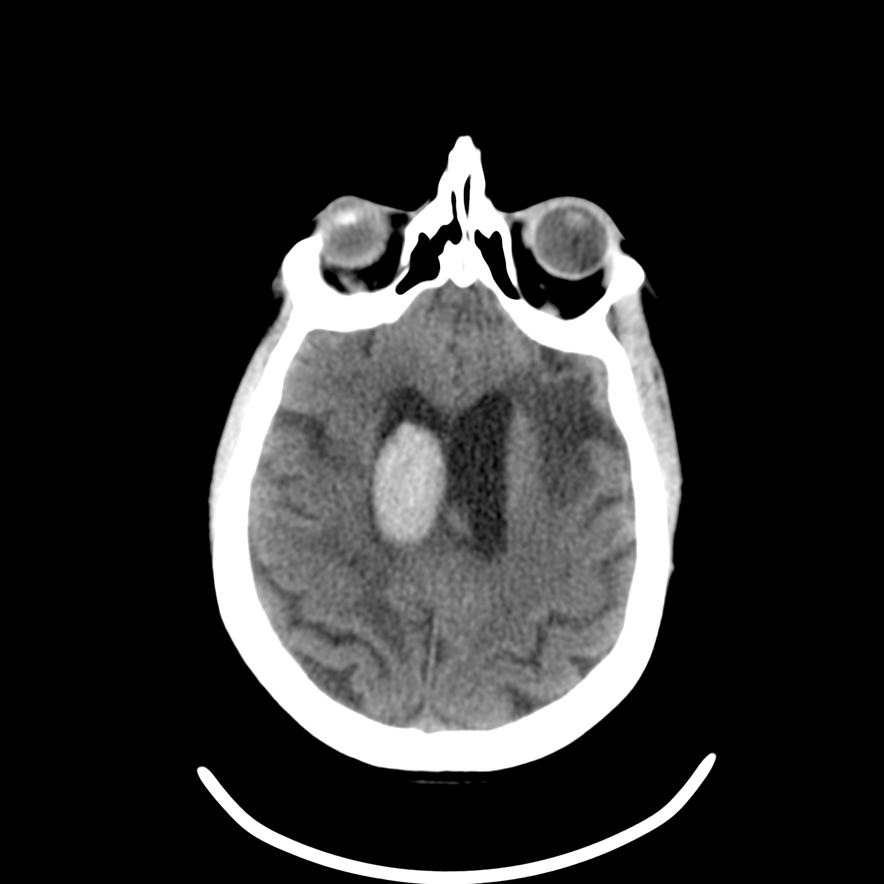
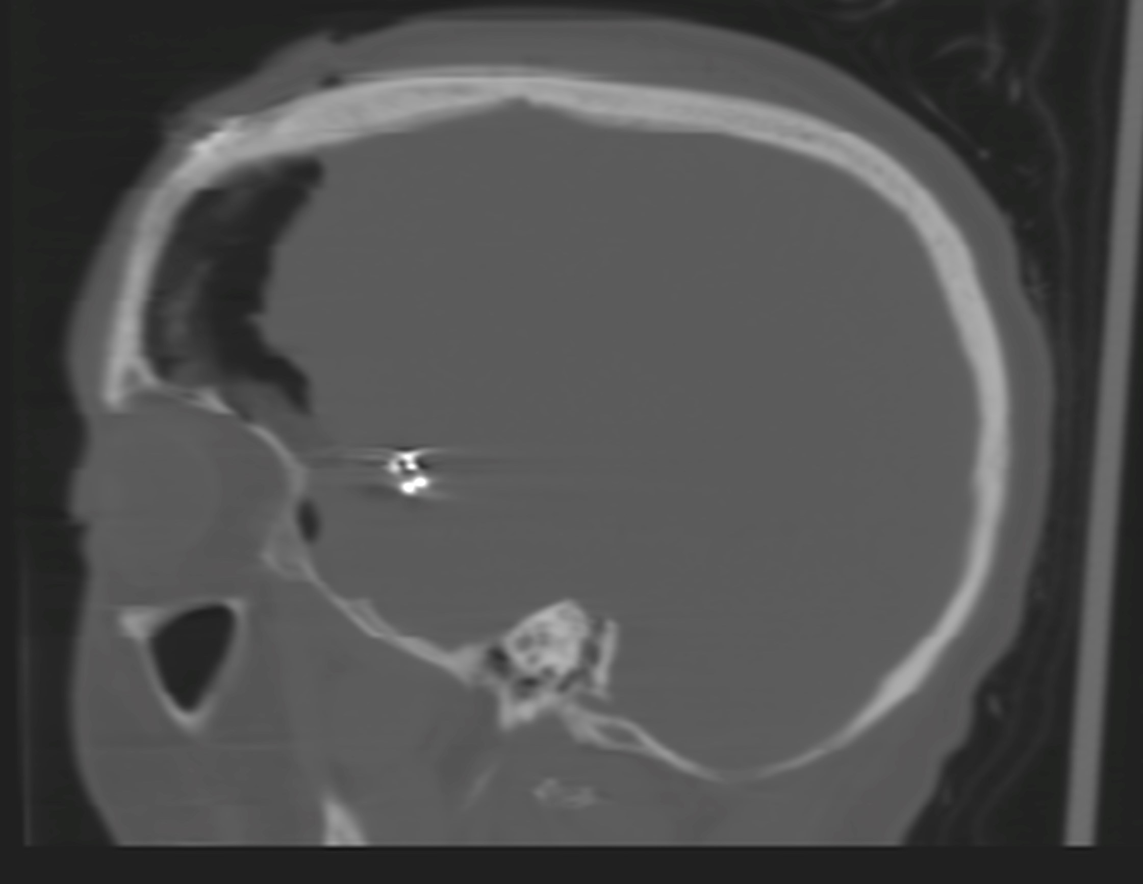
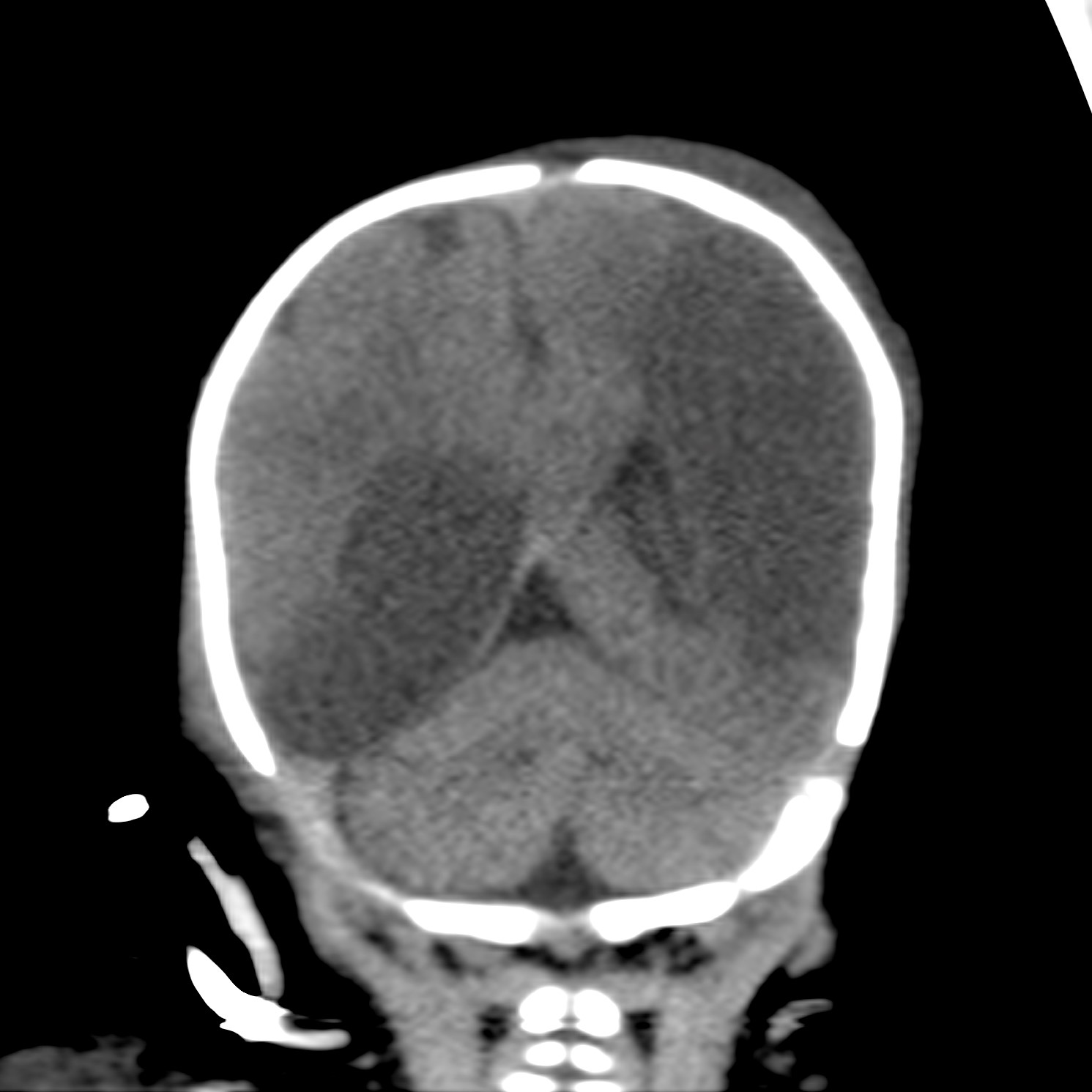
OmniTom® is a 16-slice CT scanner that delivers high-quality non-contrast CT, CT angiography, and CT perfusion scans at the point-of-care. The combination of rapid scan time, ultra-small footprint, and immediate image viewing makes OmniTom an indispensable tool for collecting real time data on critically ill patients.

Let us help you find the solution that's right for your business.
WE'LL CONTACT YOU
Sales
FIND YOUR REPRESENTATIVE
Support
CONNECT WITH A TECHNICIAN
© 2026 NeuroLogica Corp. All Rights Reserved.
NeuroLogica is a Federal Contractor and an EEO/AA/Disability/Veterans Employer.
Note: You are leaving the NeuroLogica website. By selecting CONTINUE, you will be re-directed to Samsung Healthcare Global Website. Some of the products and features on this website are not cleared for use and not available for purchase in the United States.
CONTINUE TO SITE >