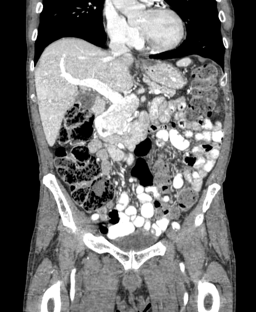
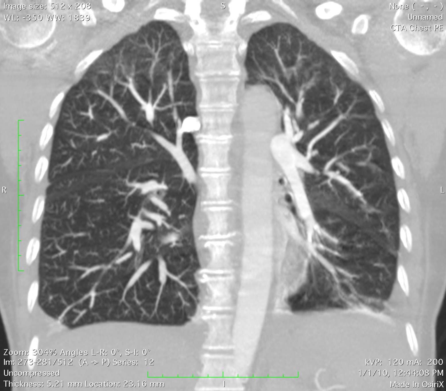
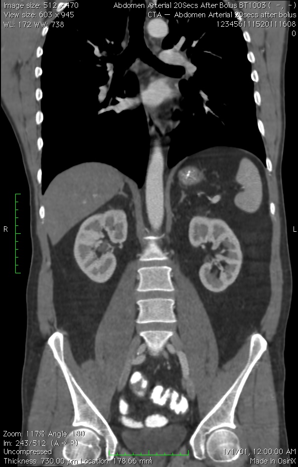
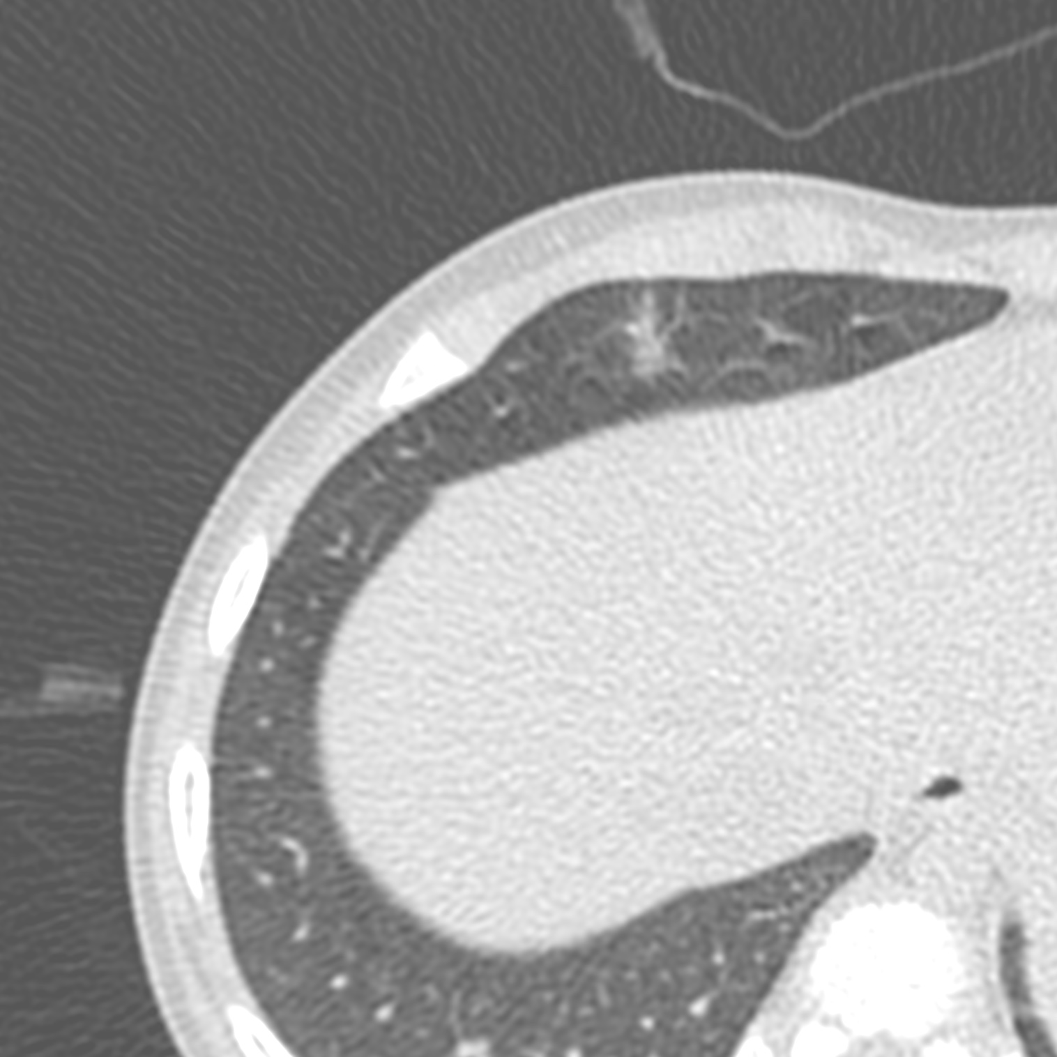
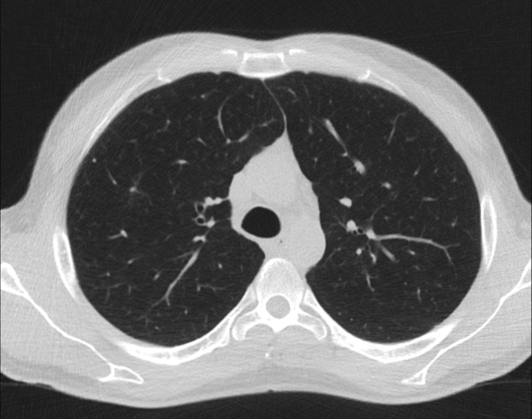
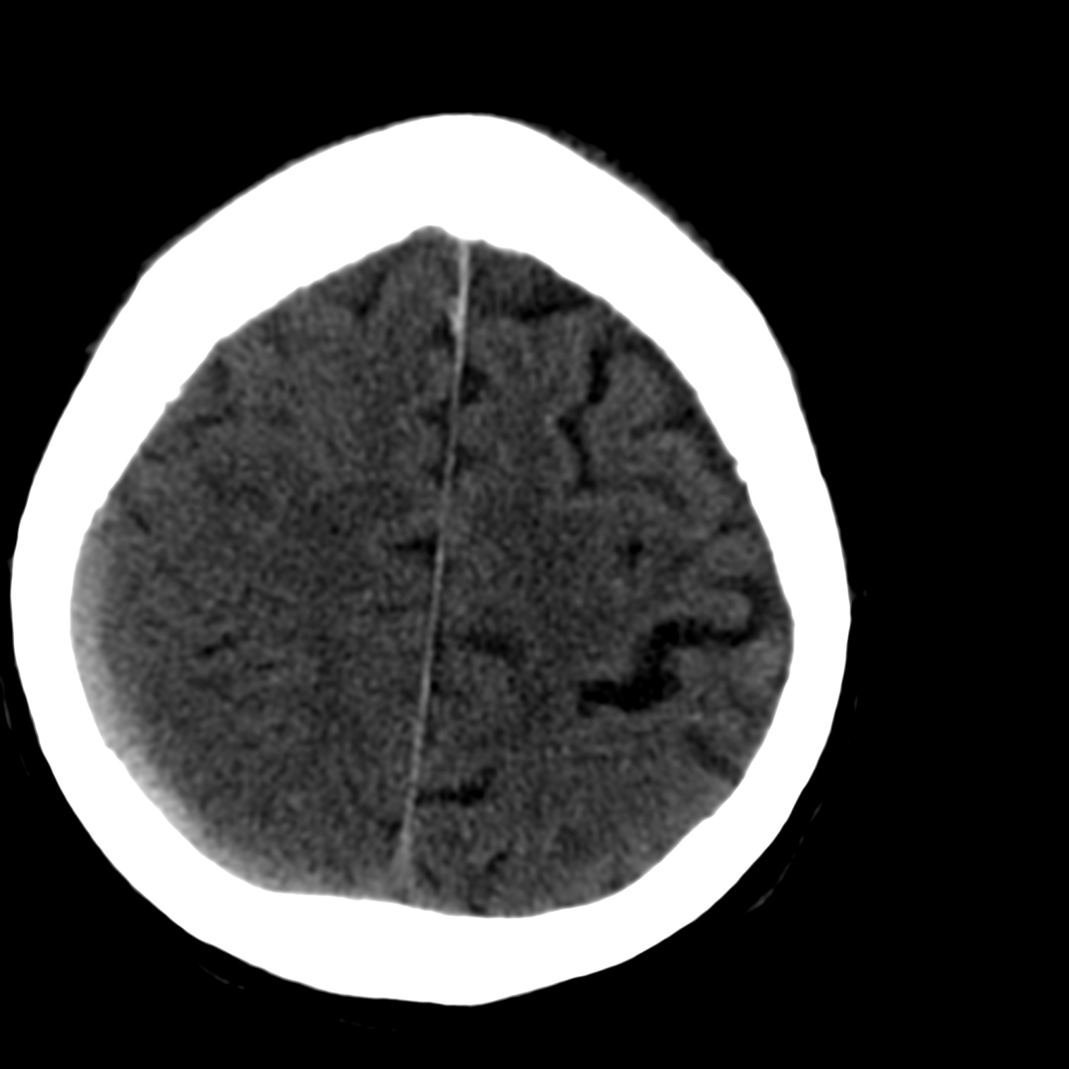
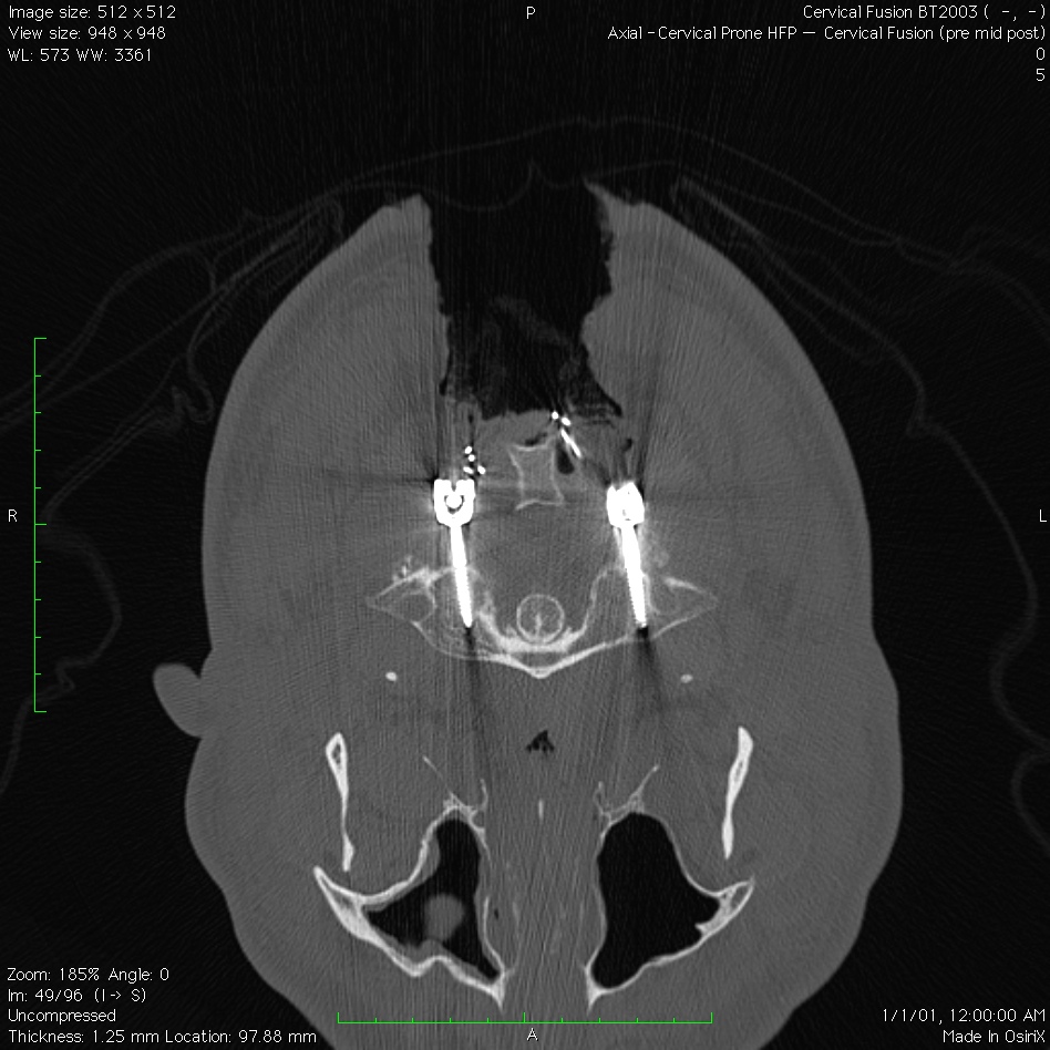
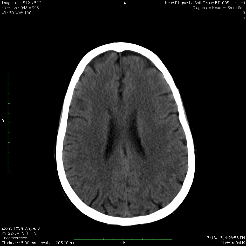
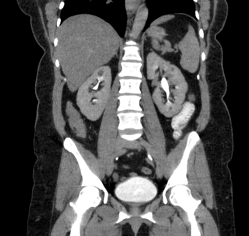
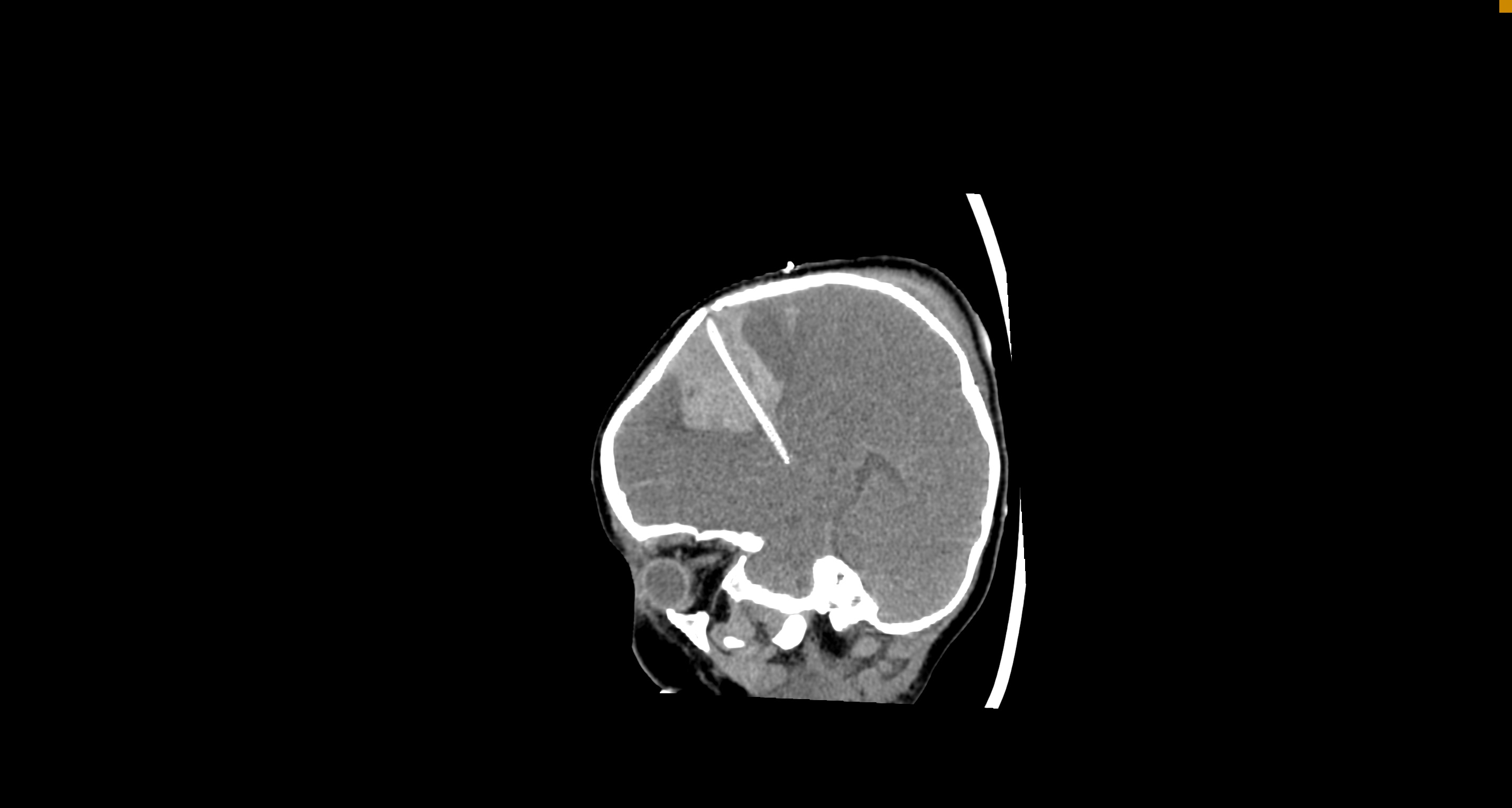
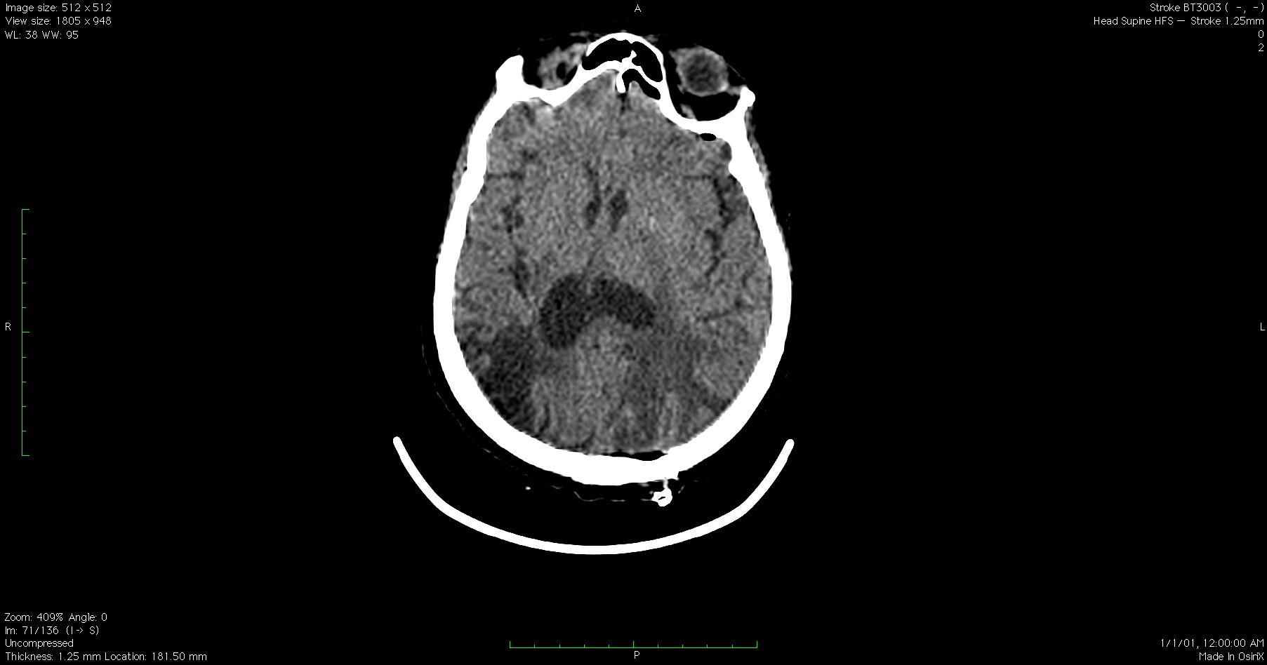
As the world’s first mobile, full-body, 32-slice CT (computed tomography) scanner, BodyTom® Elite is a multi-departmental imaging solution capable of transforming any room in the hospital into an advanced imaging suite. The system boasts an impressive 85 cm gantry and 60 cm field of view, the largest field of view available in a mobile CT scanner.
The BodyTom Elite is battery powered with an innovative internal drive system allowing it to be easily transported from room to room. It is compatible with PACS, EMR, planning systems, surgical and robotic navigation systems.
Uniquely designed to accommodate patients of all sizes, BodyTom Elite provides point-of-care CT imaging wherever high-quality CT images are needed, including the operating room, intensive care unit, radiation oncology suites, and the emergency department. The combination of rapid scan time, flexible settings, and immediate image viewing makes the BodyTom Elite a valuable tool to any facility needing versatile real-time mobile imaging.

Let us help you find the solution that's right for your business.
WE'LL CONTACT YOU
Sales
FIND YOUR REPRESENTATIVE
Support
CONNECT WITH A TECHNICIAN
© 2026 NeuroLogica Corp. All Rights Reserved.
NeuroLogica is a Federal Contractor and an EEO/AA/Disability/Veterans Employer.
Note: You are leaving the NeuroLogica website. By selecting CONTINUE, you will be re-directed to Samsung Healthcare Global Website. Some of the products and features on this website are not cleared for use and not available for purchase in the United States.
CONTINUE TO SITE >